
Parodontite e diabete: cause, sintomi e prevenzione della piorrea
24 Ottobre 2025
Devitalizzare un dente: quando serve, come si fa e cosa succede dopo la devitalizzazione dentale
16 Dicembre 2025Allineatori trasparenti: alta tecnologia per un sorriso perfetto
Scopri come gli allineatori trasparenti possono migliorare il tuo sorriso in modo discreto, confortevole e naturale. L’ortodonzia estetica moderna unisce tecnologia e benessere per restituirti la libertà di sorridere con fiducia.
L’ortodonzia moderna ha compiuto passi da gigante, superando la concezione tradizionale dell’apparecchio metallico a favore di soluzioni più discrete, confortevoli e personalizzate.
Tra queste, gli allineatori trasparenti rappresentano una vera rivoluzione: mascherine sottili, removibili e quasi invisibili che permettono di allineare i denti e migliorare il sorriso senza interferire con la vita quotidiana.
Presso l’Orthodontic Center Valtarese, i pazienti possono ricevere informazioni e consulenze personalizzate su questo trattamento innovativo, frutto dell’evoluzione tecnologica e dell’approccio sempre più estetico dell’ortodonzia moderna.
Che cosa sono gli allineatori trasparenti

Allineatore trasparente
Gli allineatori trasparenti sono mascherine in resina biocompatibile, progettate su misura a partire da una scansione digitale 3D dell’arcata dentale.
Ogni mascherina esercita una forza delicata e controllata per spostare gradualmente i denti verso la posizione desiderata.
Il trattamento prevede una serie di allineatori da sostituire ogni una o due settimane, seguendo le indicazioni dell’ortodontista.
Grazie alla pianificazione computerizzata, il paziente può visualizzare l’intero percorso di trasformazione del proprio sorriso, venendo a conoscenza già dall’inizio del trattamento dei risultati attesi
A chi sono indicati gli allineatori trasparenti
Questa tecnica è adatta a correggere diverse malocclusioni, come affollamento, spazi tra i denti, morso profondo o aperto, e altri disallineamenti lievi o moderati.
Nei casi più complessi, può essere integrata con altre soluzioni ortodontiche, sempre sotto la supervisione di uno specialista.
Gli allineatori trasparenti rappresentano quindi una soluzione efficace per chi desidera migliorare il proprio sorriso senza rinunciare all’estetica, unendo tecnologia e comfort in un approccio totalmente personalizzato.
I vantaggi degli allineatori trasparenti
Gli allineatori trasparenti uniscono efficacia clinica e comfort estetico, diventando una scelta sempre più diffusa tra adulti e adolescenti.
Ecco i principali vantaggi:
- Discrezione assoluta – Le mascherine sono quasi invisibili, permettendo di sorridere liberamente in ogni contesto sociale o lavorativo.
- Comfort e libertà – L’assenza di fili o attacchi metallici riduce irritazioni e fastidi. Inoltre, si possono rimuovere facilmente per mangiare o lavarsi i denti.
- Igiene impeccabile – Poiché gli allineatori sono rimovibili, è possibile mantenere una corretta igiene orale per tutta la durata del trattamento.
- Risultati prevedibili – La tecnologia digitale consente un controllo preciso degli spostamenti dentali e una pianificazione personalizzata.
Il percorso ortodontico passo dopo passo
Il trattamento con allineatori trasparenti inizia con una visita di valutazione ortodontica. Durante l’incontro vengono raccolti i dati clinici, eseguite le analisi necessarie e definito un piano di cura personalizzato.
Una volta progettate, le mascherine vengono realizzate su misura e indossate ogni giorno per circa 22 ore, sostituendole a intervalli regolari secondo le indicazioni dell’ortodontista.
I controlli periodici consentono di monitorare l’avanzamento del trattamento e di apportare, se necessario, piccoli aggiustamenti. La costanza del paziente e il supporto dello specialista sono fondamentali per raggiungere un sorriso armonioso e stabile nel tempo.
La scansione intraorale: precisione e comfort

La scansione intraorale
La scansione intraorale è una tecnologia digitale che sostituisce la tradizionale impronta in alginato. Con l’utilizzo di uno scanner di ultima generazione, l’ortodontista rileva in pochi minuti un’immagine tridimensionale precisa delle arcate dentali.
Non sono necessari materiali da impronta, spesso percepiti come scomodi o invasivi. Il procedimento è rapido, accurato e completamente confortevole per il paziente.
Le immagini digitali ottenute permettono di progettare con grande precisione le mascherine personalizzate, migliorando la qualità del risultato e riducendo i tempi complessivi del trattamento
Igiene orale semplice ed efficace grazie agli allineatori trasparenti
Uno dei principali vantaggi degli allineatori trasparenti è la possibilità di mantenere un’igiene orale ottimale per tutta la durata del trattamento. Le mascherine, infatti, possono essere rimosse facilmente durante i pasti e la pulizia quotidiana dei denti.
A differenza degli apparecchi fissi tradizionali, non ci sono fili o attacchi che trattengono residui di cibo o placca. Questo consente di spazzolare i denti e utilizzare il filo interdentale come di consueto, riducendo il rischio di carie e infiammazioni gengivali.
Anche la pulizia degli allineatori è semplice: basta sciacquarli e igienizzarli regolarmente per mantenerli trasparenti e confortevoli. In questo modo, il sorriso non solo migliora nell’allineamento, ma resta anche sano e curato giorno dopo giorno.
La simulazione digitale del sorriso
Uno degli aspetti più innovativi del trattamento con allineatori trasparenti è la possibilità di visualizzare in anticipo l’evoluzione del sorriso. Grazie a un’animazione 3D, il paziente può osservare passo dopo passo i movimenti dei denti previsti a ogni cambio di mascherina.
Questo strumento digitale consente di comprendere meglio il percorso del trattamento e di visualizzare il risultato finale prima ancora di iniziare.
Per l’ortodontista rappresenta un supporto fondamentale nella pianificazione clinica: attraverso il software dedicato è possibile analizzare nel dettaglio la posizione iniziale e finale di ogni dente, verificare la corretta sequenza dei movimenti e ottimizzare forze e tempi di spostamento. In questo modo si garantisce un trattamento più preciso, prevedibile e personalizzato sulle reali necessità del paziente.
Per il paziente è una motivazione in più: vedere in modo concreto i progressi del proprio sorriso aiuta a mantenere costanza e fiducia durante tutto il percorso, rafforzando l’impegno quotidiano nel seguire correttamente il trattamento e nell’indossare le mascherine con regolarità.

Allineatori trasparenti
Un team sempre aggiornato per offrirti il meglio
All’Orthodontic Center Valtarese crediamo che la qualità dei risultati nasca dalla competenza e dalla formazione continua. Il Dott. Guerra è costantemente impegnato ad approfondire le tecniche più innovative dell’ortodonzia con allineatori trasparenti, studiando nuove strategie per pianificare i casi in modo ancora più preciso e ottenere risultati sempre più prevedibili.
Attraverso corsi avanzati e aggiornamenti professionali, il nostro studio integra le più moderne conoscenze sulla gestione dei movimenti dentali, sull’utilizzo degli attachment e sulla personalizzazione dei trattamenti, così da rendere ogni percorso ortodontico più efficace e confortevole.
Grazie a un team preparato e in continua evoluzione, possiamo offrire ai nostri pazienti un’esperienza di cura all’avanguardia, dove tecnologia, attenzione e passione si incontrano per creare sorrisi belli e naturali.
L’approccio umano dietro la tecnologia degli allineatori trasparenti
L’ortodonzia estetica non riguarda solo l’allineamento dei denti, ma anche il benessere emotivo e relazionale che un sorriso equilibrato può trasmettere.
Un esempio di questo approccio è il lavoro della Dott.ssa Martina Caneva, ortodontista dello Studio Caneva di Trieste, ideatrice del programma “Sorridi con Martina”, che promuove una visione più profonda e umana del sorriso.
Come spiega la dottoressa:
“Ho ideato il programma Sorridi con Martina per aiutare le persone a sorridere senza inibizioni, libere di trasmettere emozioni. Liberi di sorridere significa sentirsi confidenti di un sorriso vissuto non come limite, ma come influente mezzo di comunicazione, perché il sorriso è il modo più bello per esprimersi, è il canale che mostra chi si è fuori e dentro”
Un messaggio che riflette perfettamente la missione condivisa dall’Orthodontic Center Valtarese: offrire trattamenti di alta qualità clinica, ma anche percorsi di crescita personale, per aiutare ciascun paziente a riscoprire la fiducia nel proprio sorriso.
Prenota la tua consulenza e scopri il tuo nuovo sorriso
Il primo passo vers’o un sorriso più armonioso è la consapevolezza: comprendere le proprie esigenze, conoscere le opzioni di trattamento e affidarsi a professionisti qualificati.
Presso l’Orthodontic Center Valtarese, un team specializzato in ortodonzia estetica è a disposizione per valutare la situazione dentale di ogni paziente e consigliare il percorso più adatto.
Prenota una consulenza personalizzata e scopri come gli allineatori trasparenti possono aiutarti a ottenere il sorriso che hai sempre desiderato — naturale, sicuro e pieno di fiducia.

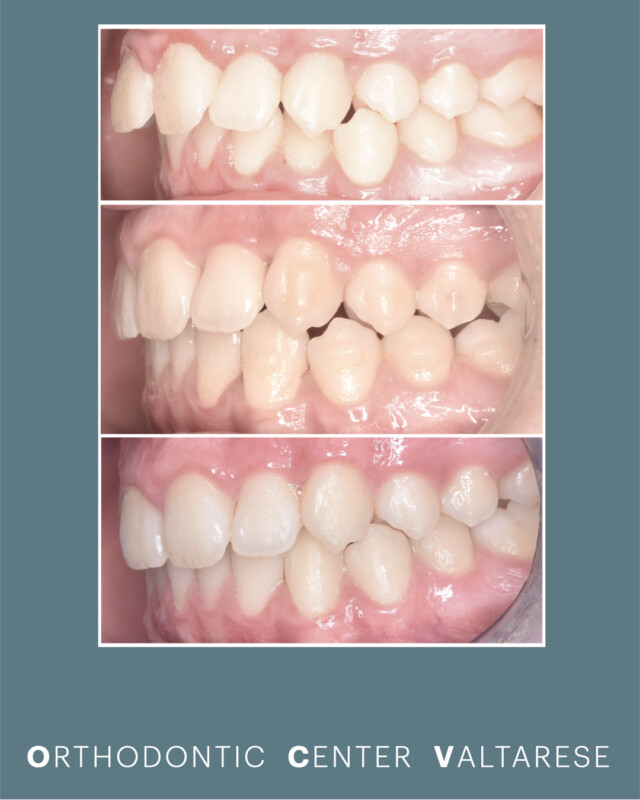
La situazione iniziale di un trattamento con allineatori trasparenti

Le fasi di un trattamento con allineatori trasparenti

La conclusione di un caso di ortodonzia con allineatori trasparenti

