
Diagnostica per immagini odontoiatrica: tecnologie avanzate per una diagnosi precisa
3 Febbraio 2026
Come sostituire un dente mancante: soluzioni efficaci e durature a Borgo Val di Taro
8 Aprile 2026Faccette dentali: una soluzione per migliorare il sorriso
Sommario
- A cosa servono le faccette dentali
- Cosa sono le faccette dentali
- Materiali delle faccette dentali: ceramica e composito
- Come si applicano le faccette
- Durata delle faccette dentali e manutenzione
- L’importanza della progettazione digitale nel trattamento estetico
- Faccette dentali a Borgo Val di Taro: un sorriso su misura
- FAQ: Domande frequenti
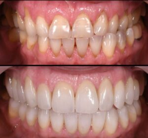
A cosa servono le faccette dentali
Le faccette dentali rappresentano oggi una delle soluzioni più richieste nell’odontoiatria estetica moderna. Si tratta di sottilissime lamine realizzate in materiali altamente estetici che vengono applicate sulla superficie anteriore dei denti per migliorarne forma, colore e armonia.
Grazie alle tecnologie digitali e ai materiali di ultima generazione, permettono di ottenere risultati estremamente naturali, migliorando il sorriso in modo rapido, minimamente invasivo e duraturo nel tempo.
Presso Orthodontic Center Valtarese offriamo trattamenti di faccette dentali in Valtaro, pensati per migliorare estetica e armonia del sorriso in modo naturale. Lo studio rappresenta un punto di riferimento per i pazienti della valle che desiderano trattamenti di odontoiatria estetica moderni e minimamente invasivi.
Cosa sono le faccette dentali
Le faccette sono sottili rivestimenti estetici che vengono applicati sulla parte visibile dei denti anteriori.
Il loro spessore è generalmente compreso tra 0,3 e 0,7 millimetri, simile a quello di una lente a contatto. Nonostante siano molto sottili, offrono una grande resistenza e una resa estetica estremamente naturale.
Sono utilizzate per correggere diversi difetti estetici del sorriso, tra cui:
- Denti macchiati o ingialliti
- Discromie resistenti allo sbiancamento
- Denti scheggiati o consumati
- Piccoli spazi tra i denti (diastemi)
- Denti leggermente storti o disallineati
- Denti di forma irregolare o troppo piccoli
Il risultato è un sorriso armonioso, luminoso e naturale.
Materiali delle faccette dentali: ceramica e composito
La qualità dei materiali è uno degli elementi più importanti per ottenere faccette resistenti ed esteticamente perfette.
Ceramica
Le faccette in ceramica rappresentano la soluzione più avanzata dal punto di vista estetico.
Questo materiale è particolarmente apprezzato in odontoiatria estetica perché è in grado di riprodurre in modo estremamente realistico le caratteristiche dei denti naturali. La ceramica utilizzata per le faccette infatti, possiede proprietà ottiche molto simili a quelle dello smalto: permette alla luce di attraversare parzialmente la superficie del dente, ricreando la tipica traslucenza naturale che rende il sorriso luminoso e credibile.
Allo stesso tempo, questo materiale riflette la luce in maniera equilibrata, evitando l’effetto artificiale che talvolta si può osservare con restauri dentali meno avanzati. Il risultato è una faccetta dentale che si integra perfettamente con gli altri denti, contribuendo a creare un sorriso naturale e difficilmente distinguibile da quello originale.
Tra i principali vantaggi della ceramica troviamo:
- elevata resistenza nel tempo
- stabilità del colore
- resistenza alle macchie
- aspetto estremamente naturale
- biocompatibilità con i tessuti gengivali
Composito
Le faccette in composito sono una soluzione estetica conservativa, ideale per chi desidera migliorare il sorriso con un trattamento meno invasivo e più economico. A differenza di quelle in ceramica, vengono modellate direttamente sul dente dal dentista con resine estetiche di alta qualità, ricreando forma, colore e proporzioni in modo preciso, spesso senza rimuovere molto smalto.
I principali vantaggi includono la rapidità del trattamento, la minima invasività e la possibilità di ritocchi nel tempo, con un costo contenuto rispetto alla ceramica. Va ricordato che il composito può essere più soggetto a usura o pigmentazione, quindi è fondamentale mantenere una buona igiene orale e controlli periodici dal dentista per preservarne estetica e funzionalità.
Come si applicano le faccette
Il trattamento con faccette dentali segue generalmente alcune fasi precise.
1. Visita e progettazione del sorriso
Durante la prima visita, il dentista valuta attentamente diversi aspetti del sorriso e del volto del paziente, considerando l’estetica complessiva, le proporzioni del viso, la forma dei denti e il colore naturale dello smalto. Questa analisi dettagliata permette di progettare faccette dentali completamente personalizzate, studiate per integrarsi perfettamente con il sorriso e valorizzare l’armonia del volto.
2. Progettazione digitale
Grazie alle tecnologie digitali, presso il nostro studio è possibile effettuare una scansione digitale dei denti che permette di pianificare il trattamento con grande precisione. Questo approccio garantisce una progettazione su misura, rispettando forma, proporzioni e armonia del sorriso, per un risultato estetico naturale e duraturo.
3. Preparazione minima del dente
In molti casi è sufficiente una preparazione molto conservativa, che interessa solo una piccola quantità di smalto.
4. Applicazione
Le faccette vengono fissate con cementi adesivi altamente resistenti che garantiscono stabilità, precisione e durata nel tempo.
Durata delle faccette dentali e manutenzione
Una delle domande più frequenti riguarda la durata delle faccette.
La longevità del trattamento dipende da diversi fattori, tra cui:
- qualità dei materiali utilizzati
- igiene orale quotidiana
- controlli periodici dal dentista
- abitudini alimentari
- eventuale bruxismo
Con una corretta manutenzione e visite di controllo regolari, le faccette dentali possono mantenere nel tempo il loro aspetto naturale e la loro funzionalità.
L’importanza della progettazione digitale nel trattamento estetico
Presso Orthodontic Center Valtarese, dentista a Borgo Val di Taro, la realizzazione delle faccette dentali avviene tramite tecnologie digitali avanzate.
La progettazione digitale permette di:
- analizzare il sorriso con grande precisione
- progettare faccette personalizzate
- migliorare la precisione del risultato finale
- ridurre i tempi di trattamento
Collaboriamo con il laboratorio odontotecnico Lanzi & Cavalli di Parma, specializzato nella realizzazione di restauri estetici di alta qualità: questo garantisce una integrazione perfetta con i denti naturali.
Faccette dentali a Borgo Val di Taro: un sorriso su misura
Se desideri migliorare l’estetica del tuo sorriso, le faccette rappresentano una soluzione moderna, sicura e altamente efficace.
Sempre più pazienti della provincia scelgono di affidarsi al nostro studio per realizzare faccette dentali vicino Parma, grazie alla combinazione di tecnologie digitali, materiali estetici avanzati e trattamenti personalizzati.
Infatti da Orthodontic Center Valtarese offriamo:
- materiali estetici di ultima generazione
- progettazione digitale del sorriso
- tecniche odontoiatriche minimamente invasive
L’obiettivo è creare un sorriso naturale, armonioso e duraturo, perfettamente adatto alle caratteristiche di ogni paziente.
Per approfondire l’argomento puoi leggere anche questo articolo tratto dal blog dello studio del dottor Fiammenghi a Brescia.
FAQ – Domande frequenti sulle faccette dentali
Le faccette dentali rovinano i denti naturali?
No. Quando eseguite correttamente, sono un trattamento minimamente invasivo che preserva la maggior parte dello smalto naturale.
Le faccette dentali sono permanenti?
Si tratta di una soluzione a lungo termine. Con una buona igiene orale e controlli regolari possono durare molti anni.
Le faccette dentali cambiano colore nel tempo?
Le faccette in ceramica sono altamente resistenti alle macchie e mantengono il loro colore nel tempo. Il composito può invece richiedere qualche ritocco nel corso degli anni.
A chi sono adatte le faccette dentali?
Le faccette sono ideali per chi desidera migliorare estetica, forma e colore dei denti anteriori senza ricorrere a trattamenti invasivi.
Se desideri migliorare l’estetica del tuo sorriso con faccette dentali a Borgo Val di Taro o vuoi una consulenza personalizzata, contattaci oggi stesso per prenotare una visita.


